2025
12/19
いつも通りのことをしただけ
- 2025.12.19
- ブログ歯記
- 根管治療・ 顕微鏡歯科治療(マイクロスコープ)

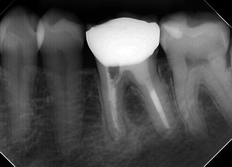
患歯は左下第一大臼歯
根管治療専門医にリトリートメント(根の治療の再治療)をしてもらったら、近心根にファイルが折れてしまったとのこと。
できる限りのことをしたが取れなかったので、外科手術をして除去することを提案された。
そうこうしているうちに症状も出てきた
別の根管治療専門医に受診。
その歯科医師も破折ファイルを除去できずに数十回にわたる洗浄と貼薬を繰り返したが症状は変わらず。
当院に受診
症状をについて傾聴すると、クラックによる咬合痛の可能性があると考えた(神経のある別の歯)。
今の症状は破折ファイルとは関係ないかもしれないことを説明したが、患者さんはファイルの除去を希望したので根管治療を開始しました。
ジルコニアクラウンを除去したところ、まったく接着していませんでした。

破折ファイルを除去するためなのか、歯質の削除量が多く分岐部にはストリップパーフォレーションに際どい状態でした。
根管の形態はVertucci TypeⅡいわゆるY字型で、根管内には根管充填剤やデブリがたくさん残っていました。


頬側から、舌側からと根管内をきれいにしていたら、簡単に破折ファイルが出てきました。

清掃が進んで根管内が明るく見やすくなってくるとクラックも見つかりました。

現在この歯にはクラウンを被せて終了しました。
次は同じ専門医が治療した反対側の歯の再治療をします。
根管治療費 約25万円 回数2回
おもて歯科医院
博士・日本顕微鏡歯科学会認定指導医・常任理事
日本歯科大学臨床講師
表 茂稔



