2025
11/07
スクリューポストの除去
- 2025.11.07
- ブログ歯記
- MTAセメント・ マイクロエンド・ ミラーテクニック・ 顕微鏡歯科治療(マイクロスコープ)
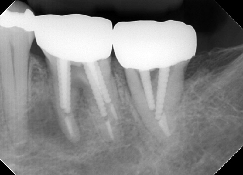
近医で歯肉が腫れていることを指摘されましたが、そこの歯科医院ではスクリューポストを除去できないので根管治療ができないと言われ当院に来院されました。

レントゲンから読み取れることは、スクリューは除去できそうだが骨の吸収具合から歯根破折を疑いました。
歯科の場合は被せ物や詰め物を除去しないと中の様子がわからないため、治療を勧めながら診断をすることも多く、当初予定した内容を変更する場合もよくあります。
事前に患者さんにはよく説明し、事あるごとに同じ説明をなん度も繰り返します。
診断をするために歯の中にある全てのもの取り除きます。

歯質を温存するために歯には一切触れずに除去します。
再治療はすでに歯に不利な状況ですからね。

4本全てのスクリューを安全に取り除きました。

残っているセメント?を全て取り除き、やっと歯の中を観察することができます。

術前診断の通り根管内にクラックがみとめられ、クラックの中に何か詰まっているのが観察できます。
慎重にクラックを削除しながら詰まっているものを除去しました。
一般的には歯根にクラックが認められた場合は抜歯が妥当なことが多いのですが、患者さんは歯の保存を強く望まれたことと、ここまでの治療が奏功したのかサイナストラクト(歯肉の腫れ)も直ちに消失したため保存治療を継続することにしました。
レントゲン写真での途中経過では骨の回復傾向が認められました。
現時点ではまだ8ヶ月しか経っていないのですが経過は良好です。
時期をみてCTを撮影して評価する予定です。
歯の治療は初発の時が一番大事です。
拗れさせるのは歯にとってたいへん不利になります。
最初からきちんとした顕微鏡歯科治療をお勧めします。
今回の治療費は根管治療 約30万円 (クラウンは別途)
治療回数は4回(根管治療:仮歯を装着して3ヶ月経過観察)
おもて歯科医院
博士・日本顕微鏡歯科学会認定指導医・常任理事
表 茂稔



